腫瘤微創介入治療技術,是一種新興的腫瘤治療方式,也是國內外腫瘤治療的新趨勢。在傳統的腫瘤治療中,外科手術占主導地位,大部分作為腫瘤早期和中期治療的選擇。隨著醫學影像引導微創介入技術的應用,腫瘤微創切除和根治治療的選擇適應癥越來越廣,大部分腫瘤都可以采用微創介入方法進行治療。平板介入中C的引進,對微創介入手術的開展意義非常重大。
微創介入 造福患者
邵陽珂信腫瘤醫院是由湖南省衛生健康委員會批復成立的二級腫瘤專科醫院,是湘南地區專家實力雄厚、設備高檔、醫療服務質量過硬的腫瘤專科醫院。醫院設有腫瘤微創介入科,依托集團內豐富的專家資源,打造了一支訓練有素的介入隊伍,目前開展的微創介入手術有氬氦刀冷凍消融術、射頻消融術、微波消融術、放射性粒子植入術、血管介入治療術等。邵陽珂信腫瘤醫院自2021年5月引進普愛醫療移動式平板介入中C以來,已開展腫瘤介入手術180多例,為越來越多的腫瘤患者帶來了新的希望!
患者:男性,61歲,肺部腫瘤
患者因經常出現咳嗽、胸悶、氣喘等癥狀入院檢查,經CT檢查所示左肺有占位,病理活檢確診為肺部腫瘤。
肺部CT診斷

支氣管動脈栓塞+化療灌注術
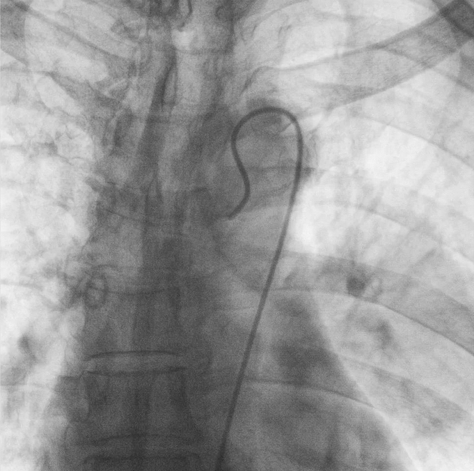
在普愛醫療移動式平板介入中C影像的引導下,醫生為患者實施雙側支氣管動脈栓塞+化療灌注術。

在微導絲的配合下,先后分別超選擇①至3支左側支氣管動脈腫瘤供血動脈,經微導管推注栓塞微粒球栓塞腫瘤動脈。栓塞結束后,再次用移動式平板介入中C做造影檢查,見腫瘤染色消失。
術前術后對比影像
普愛醫療移動式平板介入中C
作為國內C形臂市場占有率連續十余年當先的民族品牌,普愛醫療推出的PLX7100A移動式平板介入中C,憑借體積小、劑量低、圖像清晰、操作便捷等特點,在廣大基層醫院腫瘤介入科以及三甲醫院專科介入獲得了越來越多醫院和專家的認可。
注①:超選擇又稱“微導管超選擇”,屬于準確的介入治療手段。在對患者實施治療時,利用微型導管選擇到腫瘤的每一條供血動脈,一個腫瘤對應一條動脈,然后將藥物準確灌注到腫瘤部位,以此提高腫瘤內部的藥物濃度,確保腫瘤完全受藥及腫瘤供血動脈準確栓塞。


